Efektivní léčba těžké Crohnovské kolitidy ve 4. linii léčby monoterapií vedolizumabem

Jméno lékaře, pracoviště: MUDr. Tomáš Douda, Ph. D, 2. interní gastroenterologická klinika FNHK

Anamnéza:

Pacientka *1977 bez vážných komorbidit

2004 diagnóza Crohnovy choroby s dominantní postižením pravého tračníku 

2004-2013 sledována v ambulantním zdravotnickém zařízení mimo FN. Od r. 2008 užívala v rámci klinické studie anti TNF preparát certolizumab pegol. Trvale užívala azathioprin 150 mg/d (2 mg/kg) a systémovou kortikoterapii, salazopyrin 3 g/d a kombinovaný preparát vitaminu D a kalcia

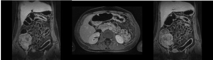
2013/7 byla referována na naše lůžkové oddělení pro relaps onemocnění - 10 řídkých stolic denně včetně nočních, křečovité bolesti břicha, subferbrilie. Před přijetím měla provedenou MR enterografii se známkami aktivity v rozsahu colon transversum, descendens a sigmoideum bez postižení tenkého střeva

MR 2013/6 MR obraz zánětu v rozsahu c. transversum, descendens a sigma, s opacifikací stěny po aplikaci KL, tzn. se známkami aktivity.

Během pobytu byla pacientka uvedena do klinické remise exklusivní enterální výživou při pokračováním podávání metronidazolu a systémové kortikoterapie s plánem nasazení standardní anti TNF léčby infliximabem nebo adalimumabem po vyřešení administrativních problémů. Během pobytu byla provedena koloskopie s obrazem těžké, segmentální pankolitidy. Z důvodu kolonického postižení podáván mesalazin (v dávce 3,2g/d) a p.o. substituce železem.

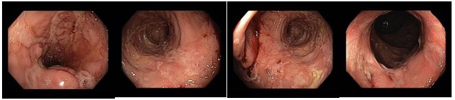
Koloskopie 2013/7: Endoskopický obraz těžké, segmentální pankolitidy. Plazivé ulcerace rekta, sigmoidea a descendens. Drobné afty c. transversum a céka. Normální nález v terminálním ileu          

2013/9 zahájeno podávání adalimumabu v indukční s.c. dávce 160–80 mg s následnou pravidelnou subkutánní aplikací adalimumabu 40 mg s.c. každé 2. týdny. 

2013/10 ukončena enterální výživa, postupně vysazeny kortikoidy. Trvala klinická remise (stolice 1-2x denně, bez bolesti břicha)  

2014 klinická remise ukončena p.o. substituce železem 

Koloskopie 2014: Endoskopický obraz mírné segmentální pankolitidy (aftózní léze, nálety fibrinu, reziduální drobné ulcerace po původně serpiginózních vředech). Nápadné pozánětlivé změny (jizvy, polypy), retrakce zejména v levém tračníku. Normální terminální ileum

2015/6 referována gravidita, adalimumab podáván do konce2. trimestru

2015/12 fyziologický porod zdravé holčičky 

2016/4 Klinicky mírná aktivita (stolice 3-4xd, intermitentně příměs hlenu). Reindukce adalimumabu s efektem

Koloskopie 2017/2: Aktivní zánětlivé změny (serpiginózní ulcerace) v oblasti rektosigmatu, mírné zánětlivé změny v blízkosti hepatálního ohbí, segmentálně pozánětlivé změny zejména v levém tračníku (jizvy, retrakce). Normální terminální ileum

Histologie: Mikroskopický nález je kompatibilní s klinickou diagnózou idiopatického střevního zánětu, resp. Crohnovy choroby, přičemž je patrna aktivita onemocnění. Dysplastické změny neprokázány

2017/3 klinická aktivita, koloskopicky aktivní zánět v levém tračníku – přidány topické steroidy, intenzifikováno podávání adalimumabu (40 mg s.c. á 1 týden)

2018/5 trvající mírná klinická aktivita, nově nežádoucí kožní projevy v obličeji charakteru psoriázy. Swap na ustekinumab – vstupně 390 mg s.c., následně 90 mg s.c. á 8 týdnů

Koloskopie 2018/8: Mírné floridní zánětlivé změny (ložiskové zarudnutí a setřelá podslizniční cévní kresba, aftoidní léze) v blízkosti hepatálního ohbí v colon ascendens a v sigmatu. Pozánětlivé změny (jizvy po serpiginózních ulcerací v příčném a levém tračníku, vlevo i pozánětlivá trabekulizace. Normální terminální ileum. 

Histologie: Mikroskopický nález je kompatibilní s klinickou diagnózou idiopatického střevního zánětu, resp. Crohnovy choroby, přičemž je patrna aktivita onemocnění. Dysplastické změny neprokázány.

2018/12 absence kožních projevů. Klinicky uspokojivý stav, laboratorně trvající aktivita (elevace fekálního kalprotektinu

2019 gravidita, nekomplikovaný průběh při trvalé aplikace ustekinumabu 

2019/12 fyziologický porod, normální poporodní vývoj zdravého chlapce

2020/3 relaps onemocnění – podány systémové kortikoidy, intenzifikováno podávání ustekinumabu na 90 mg s.c. á 4 týdny

2020/5 klinická odpověď, ale nedosaženo remise bez kortikoidů.  TDM nízké hladiny UST bez protilátek.   UST hladina 0.9 (norma více 4.5 ug/ml), anti UST 1.5 (norma pod3 AU/ml).  Swap na vedolizumab

2020/8 klinická remise bez systémových kortikoidů. Nadále kojí 

2022/1 změna na s.c. podávání vedolizumabu 108 mg á 14 dní

2022 klinická, laboratorní i endoskopická remise. Vysazen mesalazin

Koloskopie 2022/2: Pozánětlivé změny celého tračníku (jizvy), v rektosigmatu je reziduální ulcerace v centru serpiginózní ulcerace – bez makroskopických známek aktivity v tračníku i terminálním ileu. Vyšetření v bílém světle i NBI

Histologie: Chronické a fokálně výrazně aktivní zánětlivé změny v materiálu číslo IV., kde nález připouští diagnózu idiopatického střevního zánětu charakteru Crohnovy choroby s aktivitou 

2025 trvá klinická i laboratorní remise

Vývoj hodnoty CRP v čase:

Vývoj hodnoty fekálního kalprotektinu v čase:

Závěr

Popis případu dokumentuje dlouhodobou efektivní léčbu pacientky s crohnovskou kolitidou monoterapií vedolizumabem. Přestože se jedná o 4. linii léčby (2x anti TNF preparát, ustekinumab) původně velmi těžkého zánětu (plazivé ulcerace v rozsáhlých úsecích tračníku) bylo dosaženo klinické, laboratorní i endoskopické remise, která trvá již více než 5 let, nejsou patrné žádné nežádoucí účinky.

Datum přípravy: 01/2026 C-APROM/CZ/ENTCD/0104